当クリニックでは、内視鏡検査(胃カメラ、大腸カメラ)・腹部エコー検査を中心に、内科疾患の診断・経過観察に必要な検査が可能となっております。
胃カメラ
口や鼻からカメラを挿入し、食道、胃、十二指腸までを観察する検査です。直接観察することにより、食道がんや胃がんの早期発見に有効です。また、逆流性食道炎や胃潰瘍、十二指腸潰瘍などの消化器の病気を診断することができます。
このような時に検査をおすすめします
- 胸やけがする(胸が焼けるように感じる)
- みぞおちの不快感、張った感じが続く
- 吐き気や嘔吐が頻繁に起きる
- 食後に胃がもたれる
- 食べ物がつかえる感じがある
- 貧血がある
- 黒っぽい便が出る
- バリウム検査で異常を指摘された
- 過去にピロリ菌を除菌したが、その後検査を受けていない
当クリニックの胃カメラの特長
1)消化器内視鏡専門医による検査
検査前の診察から、当日の検査、そして検査後の説明まで、日本消化器内視鏡学会認定 消化器内視鏡専門医である寺田芳寛が一貫して行います。

2)鎮静剤(眠り薬)を使った検査
鎮静剤を適切に使用し、ウトウトと眠った状態のまま、より楽に、安心して検査を受けていただくことが可能です。
3)選べる検査方法
口からスコープを挿入する経口内視鏡検査と、鼻からスコープを挿入する経鼻内視鏡検査のどちらも選べます。

4)最新鋭の内視鏡システム
富士フィルム社製の最新鋭のレーザー内視鏡システム(EG-860R, EG-840N)を導入しています。画像強調観察が可能で病変の早期発見に役立ちます。
胃カメラの費用
| 1割負担 | 2割負担 | 3割負担 | |
| 検査のみ | 1,600円 | 3,200円 | 4,800円 |
| 病理組織検査あり | 2,600円 | 5,200円 | 7,800円 |
※診察料や使用する点滴、血液検査・ピロリ菌検査の有無などによって変動しますので、ご了承ください。
※病理組織検査とは、病変があった場合に行う、組織の一部を採取してがん細胞が含まれていないかどうかや炎症の程度などを顕微鏡にて詳細に調べる検査のことです。
胃カメラ前診察のお願い
当院の胃カメラ検査は月曜日・水曜日・金曜日の午前中に実施しております。
安全な検査のため、まずは事前に医師が診察を行い、病状や全身状態を確認させていただきます。
まずは一度、外来診察にお越しください。
【診察時間についてのお願い】 外来診察の予約は不要ですが、検査担当医が詳しくご説明できるよう、以下の時間帯での受診をおすすめしております。
月曜日・水曜日・金曜日: 午後3時〜5時30分(午前中は検査のため原則外来を行なっておりません)
火曜日・木曜日・土曜日: 午前8時30分〜12時
※お電話やWEBでの検査予約は行っておりません。医師による診察後、日程を調整させていただきますので、あらかじめご了承ください。
大腸カメラ
肛門からカメラを挿入し大腸を観察し、ポリープや大腸癌などの病気を診断することができます。病気を診断するための生検や、検査中に発見されたポリープや早期大腸がんの治療を行うことができます。
近年、日本における大腸がん罹患者数は増加傾向にあります。初期の症状がほとんどないため、予防のためにも大腸カメラを受けることが大切です。
このような症状があるときに検査をおすすめします
- 便に血液が混じる
- 便が細くなった
- お腹の張り、腹痛が長期間続いている
- 短期間で体重が減少した
- 便潜血検査で陽性であった
- 便潜血検査で陽性と指摘されてもまだ精密検査を受けていない
- 過去に大腸ポリープを切除した
- 身内に大腸がんの既往の方がいる
当院の大腸カメラの特長
1)消化器内視鏡専門医による、苦痛に配慮した検査
日本消化器内視鏡学会認定 消化器内視鏡専門医である寺田芳寛が、患者様の心身の負担を最大限に軽減する挿入技術で、安全・丁寧な検査を行います。

2)鎮静剤(眠り薬)を使用した検査
鎮静剤を適切に使用し、ウトウトと眠った状態のまま、より楽に、安心して検査を受けていただくことが可能です。
3)日帰りポリープ切除
検査中に見つかったポリープは、その場で切除が可能です。 
※ポリープが大きい場合や、がんの疑いがあるなど高度な治療が必要な際は、適切な総合病院をご紹介いたします。
4)炭酸ガス装置によるお腹の張りの軽減
検査後の膨満感を抑えるため、空気より体への吸収・排出が早い「炭酸ガス」を導入しています。お腹の張りが早く引くため、検査後も楽にお過ごしいただけます。
5)院内個室での下剤飲用
TV・Wi-Fi完備の専用個室で、下剤を服用いただけます。移動中のトイレの心配がなく、お困りの際はすぐにスタッフが対応できるため、初めての方も安心です。

・大腸カメラの費用
| 1割負担 | 2割負担 | 3割負担 | |
|---|---|---|---|
| 検査のみ | 約2,500円 | 約4,750円 | 約6,500円 |
| 病理組織検査あり | 約4,000円 | 約7,000円 | 約11,000円 |
| 大腸ポリープ切除術(1臓器) | 約9,000円 | 約19,000円 | 約28,000円 |
| 大腸ポリープ切除術(2臓器) | 約10,000円 | 約20,500円 | 約30,000円 |
| 大腸ポリープ切除術(3臓器) | 約11,000円 | 約22,000円 | 約33,000円 |
※診察料や使用する点滴などによって変動しますので、ご了承ください。
※病理組織検査とは、病変があった場合に行う、組織の一部を採取してがん細胞が含まれていないかどうかや炎症の程度などを顕微鏡にて詳細に調べる検査のことです。
大腸カメラ前診察のお願い
当院の大腸カメラ検査は月曜日・水曜日に実施しております。
安全な検査のため、まずは事前に医師が診察を行い、病状や全身状態を確認させていただきます。
まずは一度、外来診察にお越しください。
【診察時間についてのお願い】 外来診察の予約は不要ですが、検査担当医が詳しくご説明できるよう、以下の時間帯での受診をおすすめしております。
月曜日・水曜日・金曜日: 午後3時〜5時30分(午前中は検査のため原則外来を行なっておりません)
火曜日・木曜日・土曜日: 午前8時30分〜12時
※お電話やWEBでの検査予約は行っておりません。医師による診察後、日程を調整させていただきますので、あらかじめご了承ください。
※事前に内服薬の調整が必要なこともあるため、お持ちであれば情報提供書(紹介状)や、以前の血液検査結果(健康診断結果など)もご持参ください。
腹部エコー検査
・腹部エコー検査とは
腹部エコーは超音波でお腹の臓器(肝臓・膵臓など)を映し出す、被ばくのない安全な検査です。がんのほか、脂肪肝や胆のう結石などもその場で発見できます。毎年継続して受けることで、数値に表れない生活習慣に伴う変化も捉えることができ、病気の早期発見や予防に大きく役立ちます。
・腹部エコーの費用
| 1割負担 | 2割負担 | 3割負担 | |
| 腹部エコー検査 | 530円 | 1,060円 | 1,590円 |
※診察料や血液検査の有無などによって変動しますので、ご了承ください。
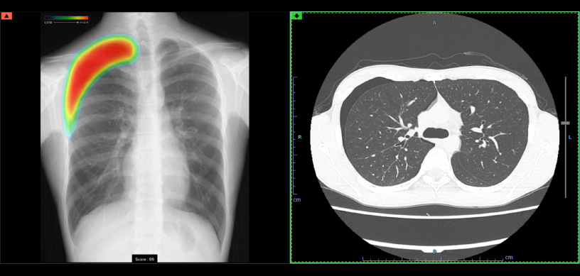
胸部レントゲンAI診断システム「CXR-AID」

当クリニックでは、2024年7月より富士フイルム社の胸部レントゲンAI(人工知能)診断システム「CXR-AID」を導入いたしました。
■ AI診断のメリット
AIが画像を解析し、肺がん(結節・腫瘤)や肺炎(浸潤影)、気胸などの異常が疑われる場所を検出します。検出された領域を医師が再確認しながら診断を行うことで、従来の検査と比べて、精度の高い診断が可能になります。
■ 費用について
このシステム利用による、患者様の追加費用は一切ございません。 これまでと同じ費用で、より質の高い検査を受けていただけます。
病変検出の例
結節・腫瘤影

浸潤影

気胸

24時間ホルター心電計(24時間不整脈検査)
不整脈などが、どの時間帯に多いかなどを調べます。

CRコンピュータX線撮影装置
発熱・腹痛などの際に、肺炎や腸閉塞などの診断を行います。

CR骨密度検査(骨粗鬆症検査)
骨粗鬆症の診断を行います。

グリコヘモグロビン測定装置(糖尿病検査)
糖尿病の有無、血糖コントロールの指標となるHbA1cも当日迅速検査可能です。糖尿病学会で推奨されたHPLC法による測定方法を行っております。
15分程度で結果がでるため、当日説明しています。

簡易SAS検査
睡眠時無呼吸症候群のスクリーニングを行います。

血圧脈波検査装置(動脈硬化・血管年齢検査)
動脈の硬さ(動脈硬化)の程度と、血管の詰まり具合の程度といった血管年齢を調べます。
動脈硬化が進行すると、脳血管障害(脳出血・脳梗塞など)や狭心症・心筋梗塞といった病気につながる危険が高まります。

自動血球計CRP測定装置(貧血・炎症反応検査)
貧血の程度、肺炎など炎症反応の程度を調べます。

心電計(不整脈検査)
動悸や胸痛の際に、不整脈や心筋梗塞の有無を調べます。

電子カルテ
受付・問診室・診察室、全ての部署で患者さんの情報を迅速に確認することができます。

尿化学分析装置
尿の異常をチェックします。
試験紙を尿に浸し判定する簡単な検査ですが、糖尿病・膀胱炎などのチェックのために大事な検査です。



